Кейсы
Формирование яркой и естественной улыбки
2025-08-20 12:01
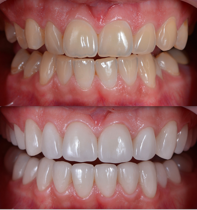
Основной запрос был сделать максимально похожую форму ее зубов и обойтись без ортодонтического лечения.
В результате мы подняли высоту прикуса и установили керамические виниры цвета BL3 для получения яркой и естественной улыбки !